Hledáme nového člena týmu na pozici ortodontická asistentka/ortodontický asistent
Hledáme nového člena týmu na pozici ortodontická asistentka/ortodontický asistent

Hledáme nového člena týmu na pozici ortodontická asistentka/ortodontický asistent.

Příjem přihlášek do 23.01.2026.

Své životopisy s motivačním dopisem zašlete na emailovou adresu manager@ortodonciehlucin.cz. Po zpracování všech přihlášek budete kontaktováni.

Těšíme se na spolupráci!

Tým Ortodoncie Hlučín


Pro kontaktování ordinace
Hledáme nového člena týmu na pozici ortodontická asistentka/ortodontický asistent
ORTODONCIE HLUČÍN

Hlavní menu

  • O nás
  • Služby
    • Rovnátka
    • Dentální hygiena
    • Bělení zubů
    • Vybavení ordinace
    • Postup léčby
  • Ceník
  • Otázky
  • Kontakt

+420 734 126 496

Obrázek

Rovnátka

  • Obecný průběh ortodontické léčby
  • Neviditelné aparáty
  • Samoligující fixní aparáty
  • Klasické fixní aparáty
  • Malé fixní aparáty
  • Snímatelné aparáty
  • Hyrax
  • Další
  • Výsledky naší léčby
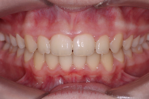
Výsledky naší léčby

Výsledky naší léčby

Fotogalerie pacientů před a po ortodontické léčbě, různé ortodontické vady.

Přetažením šipky uvidíte výsledky před a po léčbě

Před Po
Zákus horních špičáků, jednostranné nezaložení postranního řezáku (ageneze) s nedostatečnou velikostí druhostranného řezáku Zákus horních špičáků, jednostranné nezaložení postranního řezáku (ageneze) s nedostatečnou velikostí druhostranného řezáku

Zákus horních špičáků, jednostranné nezaložení postranního řezáku (ageneze) s nedostatečnou velikostí druhostranného řezáku

Před Po
Nedostatek místa na špičák posunem řezáků doprava, mezera mezi středními řezáky (diastema), hluboký skus Nedostatek místa na špičák posunem řezáků doprava, mezera mezi středními řezáky (diastema), hluboký skus

Nedostatek místa na špičák posunem řezáků doprava, mezera mezi středními řezáky (diastema), hluboký skus

Před Po
Nesoulad horní a dolní střední čáry, stěsnání, hluboký skus Nesoulad horní a dolní střední čáry, stěsnání, hluboký skus

Nesoulad horní a dolní střední čáry, stěsnání, hluboký skus

Před Po
Vyklonění horních předních zubů a traumatizace patra nákusem dolních řezáků Vyklonění horních předních zubů a traumatizace patra nákusem dolních řezáků

Vyklonění horních předních zubů a traumatizace patra nákusem dolních řezáků

Před Po
Sklon horních středních řezáků směrem dovnitř, postranních ven v kombinaci s hlubokým skusem (převislý skus) Sklon horních středních řezáků směrem dovnitř, postranních ven v kombinaci s hlubokým skusem (převislý skus)

Sklon horních středních řezáků směrem dovnitř, postranních ven v kombinaci s hlubokým skusem (převislý skus)

Před Po
Stěsnání horních a dolních zubů, nesoulad středních čar, malá velikost horních postranních řezáků - dostavba zubů na konci léčby Stěsnání horních a dolních zubů, nesoulad středních čar, malá velikost horních postranních řezáků - dostavba zubů na konci léčby

Stěsnání horních a dolních zubů, nesoulad středních čar, malá velikost horních postranních řezáků - dostavba zubů na konci léčby

ORTODONCIE HLUČÍN

MDDr. Anastázie Klečková

Školní 637/2

748 01 Hlučín

IČ: 09374990

Datová schránka: zrtkag4

Otevírací doba

  • Pondělí7.00 - 11.30, 12.00 - 14.30
  • Úterý7.00 - 11.30, 12.00 - 17.00
  • Středa7.00 - 11.30, 12.00 - 15.30
  • Čtvrtek7.00 - 11.30, 12.00 - 14.30
  • Pátek7.00 - 11.30, 12.00 - 13.30
  • Sobotazavřeno
  • Nedělezavřeno
ORTODONCIE HLUČÍN

+420 734 126 496

recepce@ortodonciehlucin.cz

Napiště nám

Odesláním formuláře souhlasíte se zásadami ochrany osobních údajů.

  • GDPR
  • Cookies
  • Facebook
Obrázek Naplánovat trasu
Naplánovat trasu
ARSY line - tvorba webových stránek a eshopů

Upozornění